教学资源
首页» 虚拟仿真» 教学资源» 图片资料

第五章 肿瘤

作者:         发布日期:2016-11-11     浏览次数:

  

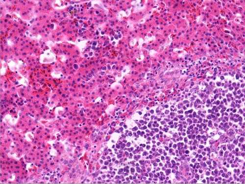
鸡肝淋巴肉瘤(肝细胞被压迫萎缩,肿瘤灶内为成淋巴细胞)

鸡肝淋巴肉瘤

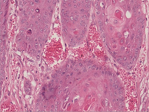
鳞状上皮细胞癌1(10X40)

鳞状上皮细胞癌2(癌巢之间为纤维结缔组织和较大的血管10X40)

 

查看更多图片  请点击相关附件下载

CopyRight 2015 All rights reserved. best365中国官网 动医公司 版权所有

地址:中国 • 陕西 • 杨凌 邮编:712100 联系电话:029-87091117

技术支持:艾特网络