教学资源
首页» 虚拟仿真» 教学资源» 图片资料

第八章 消化系统病理

作者:         发布日期:2016-11-11     浏览次数:

  

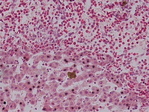
蛔虫性肝硬变(肝细胞萎缩)

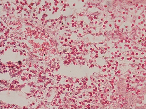
蛔虫性肝硬变1(肝小叶间有大量嗜酸性粒细胞)10X40

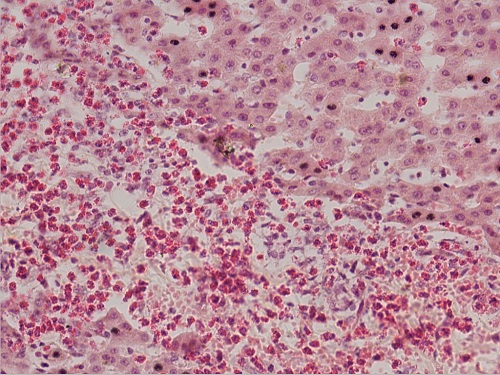
蛔虫性肝硬变2(肝小叶间有大量哮酸性粒细胞)

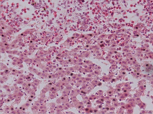
蛔虫性肝硬变3(肝小叶间有大量嗜酸性粒细胞,有蛔虫虫体)10X40

CopyRight 2015 All rights reserved. best365中国官网 动医公司 版权所有

地址:中国 • 陕西 • 杨凌 邮编:712100 联系电话:029-87091117

技术支持:艾特网络