公司首页 | 集团首页
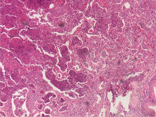
大叶性肺炎1
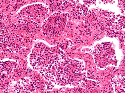
化脓性肺炎1(10X10)
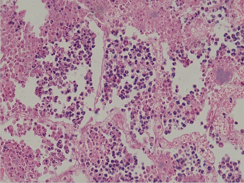
化脓性肺炎3(10X40)
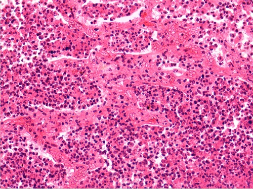
化脓性肺炎4(10X40)
查看更多图片 请点击附件下载
CopyRight 2015 All rights reserved. best365中国官网 动医公司 版权所有
地址:中国 • 陕西 • 杨凌 邮编:712100 联系电话:029-87091117
技术支持:艾特网络