教学资源
首页» 虚拟仿真» 教学资源» 图片资料

第二章 组织和细胞的适应与损伤

作者:         发布日期:2016-11-11     浏览次数:

  

肝淀粉样变1(淀粉染色)10X10

肝淀粉样变2(淀粉染色10X10)

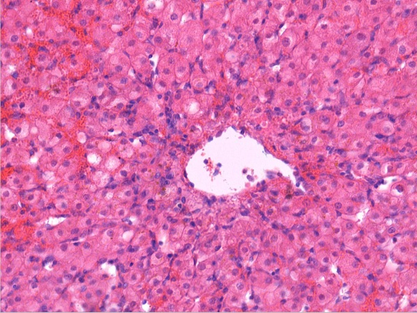
肝颗粒变性2

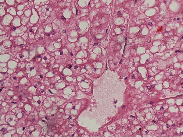
肝脂变1

 

查看更多图片 请点击附件下载

CopyRight 2015 All rights reserved. best365中国官网 动医公司 版权所有

地址:中国 • 陕西 • 杨凌 邮编:712100 联系电话:029-87091117

技术支持:艾特网络